![]() |
診療放射線科は14名の診療放射線技師と1名の助手が所属しています。日々進歩する専門知識、技術の修得に努めることを理念とし、画像部門の専門家として最適な画像を作成して医師に提供しています。 当院においては最上位機器での検査・治療を行うべく機種の選定・更新をしています。 検査時間の短縮、被ばく低減を目指し、常に最適な医療を提供できるように心がけています。 診療技術部 診療放射線科 技師長 工藤 環 |
医療が高度化するにつれて、必要とされる技術もより高度なものが要求されます。当院の技師は日本放射線技術学会をはじめ、日本心血管インターベンション治療学会、日本核医学会等に所属し十分な知識や技術を身につけ、高度な医療を患者さんに提供できるよう日々研鑽を積んでいます。
- 医師との連携を図り、治療に直結した画像提供に努めます。
- 放射線被ばく低減に取り組みます。
- 医療用画像診断装置の確実な品質管理を実施します。
- 北 裕一(2013年9月)
- 北 裕一(2018年2月)
- 長瀬 篤司(2016年3月)
- 岡田 勇太(2018年2月)
- 寺田 陸夢(2022年10月)
- 外山 広明
- 笹本 恭平
- 長瀬 篤司(2018年3月)
- 寺田 陸夢(2018年3月)
- 斉藤 利典(2016年10月)
主に胸部と腹部のレントゲン撮影を行っています。コニカミノルタ社製の「AeroDRシステム」を取り入れ、フィルムレスで運用しています。それによりノートパソコンまたはタブレット端末でX線写真を見ることが可能となり、救急分野の画像を即時に提供するシステムが確立されました。
ノートパソコンによる画像の確認 |
FPD(flat panel detector) |
![]() |
当院のCTは2016年に導入されたもので、1回転あたり最速0.28秒、最大160mm幅の撮影が可能な装置です。当時のGE社ではフラグシップモデルでしたが、装置は日々進化しています。当院では可能な限りバージョンアップを続け、見た目は導入当時とほぼ変化ありませんが、中身は2024年4月現在でもGE社の上位機種となっています。 当院で専門とする狭心症、心筋梗塞の原因となる冠動脈におこる動脈硬化による狭窄の有無を1心拍で撮影することが可能ですが、2022年のバージョンアップで、X線管球を最高品質のものに交換し、更に心臓の拍動によるブレを低減させるSnapShot Freeze2.0への更新で、冠動脈はもちろんのこと、心臓弁膜症の原因となる大動脈弁、僧帽弁の動態観察が可能となり、診断に威力を発揮しています。 |
また、Dual Energy撮影機能が搭載されているため、造影剤に含まれるヨード密度情報を用いたコントラストの増強や、病変部の検出能が高いです。動脈瘤の発見、経過観察では造影剤を使わなければならないことも多いですが、造影剤量の低減をしているため、繰り返しの造影剤検査や、腎機能が悪い患者さんでも、腎臓に優しく造影検査を行うことが可能です。
更に、ディープラーニングを用いて開発された次世代画像再構成法TrueFidelity™ Imagingが搭載され、従来より30~50%被ばくを減らしても従来と同等もしくはそれ以上の画質が提供できます。この再構成法と「High Resolutionモード」との併用で冠動脈内に留置されたステント内部が、従来より詳細に描出することも可能です。
当院では日々研鑽して、負担が少なく、より高画質な画像を提供できるよう撮影法を検討し続けています。
CTの単純画像だけではなく造影剤を使用した冠動脈や大血管の画像により適確な診断が可能となり、患者さんへの説明にも利用されて病気に対する理解を深めていただくことにも役立っております。
![]() |
![]() |
![]() |
![]() |
血管撮影室では治療技術の進歩により様々な疾患に対して治療を行えるようになってきています。
当院は3部屋の血管撮影室と1部屋のHybridOpe室の計4部屋で診療を行っています。
第1血管撮影室には、循環器専用装置であるGE社製INNOVA IGS530を導入しています。第1血管撮影室では冠動脈疾患に対して、冠動脈造影検査(CAG)・経皮的冠動脈形成術(PCI)といった冠動脈の検査・治療を行っています。
第2血管撮影室には、30cm×40cmの大口径検出器を搭載したPHILIPS社製のAllura Xper FD20を導入しています。第2血管撮影室では、大口径検出器の性能を活かし、広い範囲の観察が必要な末梢動脈疾患に対して検査や末梢動脈血管形成術(EVT)といった治療を行っています。
第3血管撮影室には、PHILIPS社製のAzurion7を導入しています。第3血管撮影室では、脳梗塞の原因となる心房細動や各種不整脈の治療法である、不整脈アブレーション治療を行っています。
HybridOpe室には、GE社の多目的X線撮影システムDiscovery IGS7を導入しています。HybridOpe室は手術室同等の清潔環境と血管撮影装置を組み合わせたものであり、弁膜症の低侵襲治療である経カテーテル大動脈弁留置術(TAVI)や経皮的僧帽弁接合不全修復術(MitraClip)、胸部大動脈瘤や腹部大動脈瘤に対するステントグラフト内挿術(TEVAR/EVAR)、徐脈性不整脈に対する治療であるペースメーカー植え込みやICD・CRTと言ったデバイス治療を行っています。
このように各々の装置の性能を最大限に活かし、様々な疾患に対し最適な治療を提供しています。
血管造影装置:「Allura Xper FD20」(Philips社製) |
大画面56インチモニタ |
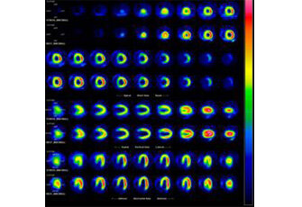
心臓核医学検査は主に冠動脈疾患の治療の適応や術後の治療効果の判定に用いられます。また、肺血流シンチや脳血流シンチはそれぞれ肺梗塞、認知症の判断と予後の判定に役立っております。
テクネシウム製剤を用いた負荷心筋血流SPECTの検査件数は道内屈指で、その豊富な症例数に基づいて日本核医学会、日本核医学技術学会に毎年演題を提出しています。
ガンマカメラ装置:「Infinia」(GE社製) |
負荷心臓SPECT画像 |
骨密度測定は、骨粗鬆症の早期発見と経過観察に欠かせない検査ですが、2013年3月に従来の装置がGE社製の「Prodigy」へ更新されたことにより、検査時間が大幅に短縮され、腰椎と両側大腿骨頚部の骨密度を同時に測定することが可能となりました。
骨密度測定装置「Prodigy」 |
![]() |
当院は循環器専門病院である一方、予防医学センターでは上部消化管造影検査も行っており、食道や胃に対してバリウムを用いた検査により、病気の早期発見が可能となっております。
|
|






